Updates, news and stories

A selection of updates, news and stories from across the university.

Filter by
  • UBC Broadcast
    UBCV & UBCO
    25 January, 2023 | UBC Broadcast | Faculty & Staff

    Share your thoughts on the search for a new President and Vice-Chancellor

    A message from The Honourable Steven Point, Chancellor and Chair of the Presidential Search Committee As you know, UBC is in the midst of a search for a new President and Vice-Chancellor. We recently invited you to share comments via an online survey. We now want to invite you to join a virtual forum and share your views related to the skills and qualities you want to see in the next President of UBC.

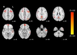
  • Brain scan
    UBCV
    24 January, 2023 | Media release | Faculty & Staff

    Traffic pollution impairs brain function

    A new study by UBC and University of Victoria researchers has shown that common levels of traffic pollution can impair human brain function in only a matter of hours. The findings show that just two hours of exposure to diesel exhaust causes a decrease in the brain’s functional connectivity – a measure of how different areas of the brain interact and communicate with each other. The study provides the first evidence in humans, from a controlled experiment, of altered brain network connectivity induced by air pollution.

  • Sally Stewart
    UBCO
    23 January, 2023 | Teaching in focus | Faculty & Staff

    Teaching in focus: Sally Stewart

    Sally Stewart is an associate professor of teaching who believes in the power of students’ personal health as critical in setting a foundation for their academic success.

  • Teaching in focus
    UBCV & UBCO
    23 January, 2023 | Announcement | Faculty & Staff

    UBC Today launches new ‘Teaching in focus’ series

    Meet UBC’s teaching faculty and learn more about what they bring to the classroom (and beyond) ‘Teaching in focus’ is a new feature highlighting our talented teaching faculty, their unique teaching style, and their incredible work at UBC.

  • PD Fund
    UBCV & UBCO
    19 January, 2023 | Announcement | Faculty & Staff

    Staff — submit your Professional Development Fund claims by Mar. 3

    Don't forget to use available professional development (PD) funding and submit claims in Workday by Mar. 3. PD funds are intended to support learning activities that will enhance your workplace knowledge or skills and support your career growth at the university. Claims will be accepted in Workday on a first-come, first-served basis, until the annual funding pool is exhausted or by Mar. 3, whichever comes first. 

  • UBC Broadcast
    UBCV & UBCO
    19 January, 2023 | UBC Broadcast | Faculty & Staff

    Attend a virtual forum on UBC’s anti-racism commitments

    A message from Gage Averill, Provost and Vice-President, Academic, UBC Vancouver; Rehan Sadiq, Provost and Vice-President, Academic, UBC Okanagan; Ainsley Carry, Vice-President, Students; Arig al Shaibah, Associate Vice-President, Equity and Inclusion

  • Updates for leadership: UBC Bulletin
    UBCV & UBCO
    19 January, 2023 | UBC Bulletin | Faculty

    UBC congratulates new University Killam Professors

    I am delighted to announce the appointment of three new University Killam Professors. This is the highest honour that UBC can confer on a faculty member.Our three new University Killam Professors were each nominated by our community of faculty, staff, students and alumni. They are exceptional teachers and researchers who are leaders in their fields and have received international recognition for their talents and achievements.The University Killam Professors appointed in 2022/23 are:

  • UBC Broadcast
    UBCV
    18 January, 2023 | UBC Broadcast | Faculty & Staff

    Share your thoughts on the draft 30-Year Vision for the Vancouver campus

    A message from Deborah Buszard, Interim President and Vice-Chancellor As part of Campus Vision 2050, UBC has been engaging members of the community to understand how the campus land can be used to support the diverse needs and aspirations of the university and its community, xʷməθkʷəy̓əm (Musqueam) and the region over the next 30 years. Thank you to everyone who participated in this process and for sharing your thoughts, which have informed the development of a draft 30-Year Vision.

Find the latest news, updates, events, and useful dates from across UBC, curated for faculty and staff by Internal Communications.
Access a library of resources from multiple UBC websites, all in one place.

UBC Crest The official logo of the University of British Columbia. Urgent Message An exclamation mark in a speech bubble. Arrow An arrow indicating direction. Arrow in Circle An arrow indicating direction. Caret An arrowhead indicating direction. Time A clock. Chats Two speech clouds. Facebook The logo for the Facebook social media service. Feedback Dots inside a speech bubble, indicating discussion. Information The letter 'i' in a circle. Instagram The logo for the Instagram social media service. Lightbulb A lightbulb inside a circle. Linkedin The logo for the LinkedIn social media service. Location Pin A map location pin. Mail An envelope. Menu Three horizontal lines indicating a menu. Minus A minus sign. Parking The letter 'P' inside a circle. Telephone An antique telephone. Play A media play button. Plus A plus symbol indicating more or the ability to add. Search A magnifying glass. Submit content An inbox filled with paper. Team A group of people inside a circle. Twitter The logo for the Twitter social media service.