Updates, news and stories
A selection of updates, news and stories from across the university.
-
UBCO9 January, 2023 | Research in focus | Faculty & StaffResearch in focus: Laura Meek
Laura is a cultural and medical anthropologist researching global health inequalities and the politics of healing in Africa. Find out what surprised her the most in her research.
-
UBCO6 January, 2023 | Media release | Faculty & StaffTechnology may help eliminate health inequities for people in rural communities
-
UBCV & UBCO4 January, 2023 | Announcement | Faculty & StaffAnnouncing the 2022 Partnership Recognition and Exploration fund recipients
47 community partners have received funding from UBC’s 2022 Partnership Recognition and Exploration fund. This fund aims to support community-university collaboration and relationship building and empower community partners to build reciprocal relationships with UBC students, faculty, and staff.
-
UBCV3 January, 2023 | Announcement | Faculty & StaffUBC Vancouver – call for proposals for the summer 2023 Work Learn program
If you are a faculty or staff member at UBC Vancouver, you can submit a proposal to hire temporary student employees through the summer 2023 (May 1 – August 31, 2023) Work Learn program. The deadline is January 23, 2023.
-
UBCV21 December, 2022 | Media release | Faculty & StaffLooking for a faster way to learn a language? Try historical linguistics
-
UBCV15 December, 2022 | Media release | Faculty & StaffFrom COVID-19 to the common cold: UBC scientists identify broadly effective, infection-halting compound
-
UBCO15 December, 2022 | Announcement | Faculty & StaffCall for UBCO applications: Campus as a Living Lab project
-
UBCO13 December, 2022 | Media release | Faculty & StaffTiny receptors might be key to preventing progression of brain cancer
-
UBCV & UBCO12 December, 2022 | Feature story | Faculty & StaffSee faculty and staff holiday-inspired photo submissions in 2022
-
UBCV & UBCO12 December, 2022 | UBC Broadcast | Faculty & Staff
UBC Chancellor stepping down next year
A message from Nancy McKenzie, Chair, UBC Board of Governors
-
UBCV12 December, 2022 | 30-second bio | Faculty & Staff30-second bio: Yan Gao
As an education and advancement coordinator in the Faculty of Medicine, Yan organizes learning activities and administers awards for graduate students and postdoctoral students. Find out what she believes is the greatest question ever asked.
-
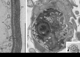
UBCV8 December, 2022 | Media release | Faculty & StaffNew branch on tree of life includes ‘lions of the microbial world’
There’s a new branch on the tree of life and it’s made up of predators that nibble their prey to death. These microbial predators fall into two groups, one of which researchers have dubbed “nibblerids” because they, well, nibble chunks off their prey using tooth-like structures. The other group, nebulids, eat their prey whole. And both comprise a new ancient branch on the tree of life called “Provora,” according to a paper published today in Nature.